부정교합은 치아의 위치나 교합이 이상적인 상태에서 벗어나 비정상적으로 교합되는 것을 말합니다 부정교합이 되면 여러 가지 문제가 나타날 수 있는데요 치아부정교합은 어떤 원인으로 인해 발생하고 어떤 증상을 보이는지 알아보겠습니다

정상적인 교합은 입을 다물었을 때 상악치아가 하악치아의 바깥쪽을 전체적으로 살짝 덮는 모습입니다 정상교합은 안쪽으로 적절하게 교합이 이루어지기 때문에 치아의 중요한 역할인 음식을 씹을 때 씹는 힘이 균등해지며 효과적으로 씹을 수 있습니다 하지만 부정교합의 경우 힘이 균등하게 분배되지 않으며 치아가 비정상적으로 마모되어 치관 부분이 파절 되거나 치아손실이 일어날 수 있는데요 아래에서 부정교합의 정도에 따른 3단계를 알아보겠습니다
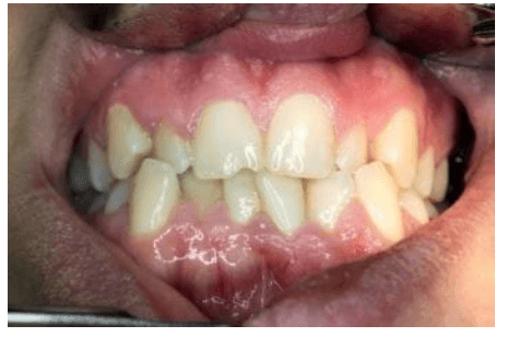
부정교합 증상
치아부정교합의 증상으로는 치아가 어긋나거나 교합이 이상한 경우, 치아가 불규칙적으로 배치되는 경우, 양쪽 턱끝이 맞지 않는 경우, 턱관절의 통증이나 불편감 등이 있습니다. 또한, 치아부정교합으로 인해 치아와 인접한 부위에 치주질환 등의 문제가 발생할 수도 있는데요 부정교합의 정도에 따라 3단계로 나누어집니다
| 1급 부정교합 | 겉으로 보여지는 모습은 문제가 없지만 덧니가 있거나 치열이 삐뚤거리거나 일부치아의 돌출,치아사이벌어짐등의 증상이 있습니다 |
| 2급 부정교합 | 아래턱보다 위턱이 앞으로 돌출된 돌출입의 형태로 치아의 기울기 정도에 따라 개방교합증상이 동반,상악의 돌출로 앞니로 음식물을 끊어먹는데 어려움이 있습니다 |
| 3급 부정교합 | 위턱보다 아래턱이 발달된 주걱턱의 형태로 교합이 반대로 물리기 때문에 반대교합이라고 불립니다 |
부정교합의 원인
치아부정교합의 원인은 유전적인 요인, 치아의 크기나 모양, 턱뼈의 크기, 입안의 형태 등이 있습니다 또한, 습관적으로 입을 벌리거나 혀를 앞으로 내밀어 말하거나 먹는 습관 등도 치아부정교합을 유발할 수 있습니다
| 선천적인 원인 | 어린시절 유치의 충지를 방치할경우 영구치가 나올때 엉뚱한 곳으로 나올수 있습니다 유전적인 영향으로 위턱과 아래턱의 성장량이 달라 돌출입이나 무턱 그리고 주걱턱의 경우가 있으며 성인의 경우 턱의 위치조절을 수술적 치료로 교정할수 있으며 어린이의 경우 5세~6세경 성장교정을 통해 턱성장을 완화해주는 장치를 착용하기도 합니다 선천적인 원인으로 치아가 배열될 공간이 부족하여 덧니가 생기거나 유치가 너무 빨리 빠지는 경우,치아의 갯수가 정상치아보다 많거나 적을경우 치열에 문제가 생기게 됩니다 |
| 후천적인 원인 | 잘못된 습관과 자세,치아우식,치주질환 등으로 부정교합이 발생할수 있습니다 치아는 고정되어 있지 않으며 조금씩 움직이기 때문에 잇몸에 염증이 생기거나 노화등의 다양한 원인으로 치열이 삐뚤어질수 있습니다 |
부정교합치료방법 치아교정
가장 심각한 경우인 3급 부정교합(주걱턱)의 경우 성장기를 지나버리면 교정보다는 수술적 치료를 해야 하는 경우가 많습니다 성장기 아동인 6세에서 12세 사이에 적절한 치료를 해주는 것이 좋으며 그 외에는 중학교 시기쯤 교정을 시작하시는 게 좋은데요 정확한 치료는 치과에서 검사를 한 후 정하는 것이 좋습니다
치아교정치료로 치아에 부착되는 장치는 여러 가지 재질의 재료가 있는데요 각각의 장단점을 잘 고려한 후 선택하시는 것이 좋습니다 메탈, 레진, 클리피씨, 클리피씨 2G, 엠파워, 2D교정, MTA, 투명교정, 인코그니토 등이 있으며 여러 가지 재질이 있습니다 직접 치과에 방문하셔서 눈으로 장치를 보시고 선택하여 치아교정을 하시는 것을 추천합니다
치아교정, 부정교합비용은 부정교합의 정도에 따라 치과마다 약간씩 차이가 있을 수 있습니다 보통 300만 원에서 700만 원 정도 생각하시면 될 것 같습니다
마치며
치아부정교합은 예방이 가능한 질환이며 치료를 받으면 치아와 턱뼈의 건강을 유지할 수 있습니다 따라서 어린 시절부터 바른 자세와 습관을 유지하고 치과의사와 상담하여 적절한 치료를 받는 것이 중요합니다
'질병의종류' 카테고리의 다른 글
| 욕창 예방과 자가치료방법 (0) | 2023.09.05 |
|---|---|
| 딸꾹질멈추는방법과 신생아 딸꾹질 (0) | 2023.09.03 |
| 역류성식도염증상과 자가치료 (1) | 2023.09.03 |
| 언어발달지연치료와 언어장애실비 (0) | 2023.08.25 |
| 난독증원인과증상,난독증치료 (1) | 2023.08.25 |